USG – co, jak, dlaczego?

Co to jest badanie USG?

Aparat USG

Badanie ultrasonograficzne (USG) jest jednym z wielu badań dodatkowych, czyli innych niż osobiste, bezpośrednie badanie zwierzęcia przez lekarza.

USG zatem, wykonywane jest przez lekarza, ale przy użyciu aparatu ultrasonograficznego. Aparat ten składa się z 2 podstawowych elementów: jednostki centranej z monitorem i specjalną klawiaturą oraz sondy.

Sonda wytwarza fale ultradźwiękowe. Te przenikają przez poszczególne elementy ciała (nie robiąc przy tym krzywdy badanemu), odbijają się od nich i wracają do sondy. Na ekranie monitora pojawia się więc przetworzone komputerowo echo czyli obraz fal ultradzwiękowych, odbitych od poszczególnych narządów.

Co obejrzymy przy pomocy USG?

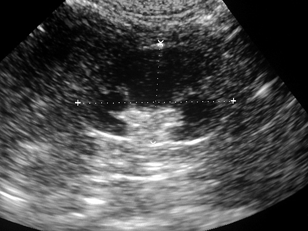
Przykładowy obraz USG

Dzięki badaniu USG możemy obejrzeć prawie cały organizm pacjenta, nie narażając go na nieprzyjemne zabiegi, w tym chirurgiczne.

W jamie brzusznej:

  • narządy miąższowe (nerki, nadnercza, wątroba, śledziona, jajniki, jądra, węzły chłonne
  • narządy rurowe (naczynia krwionośne, pęcherz moczowy, pęcherzyk żółciowy, macica, żołądek, jelita).

W klatce piersiowej:

  • serce, naczynia krwionośne, węzły chłonne,
  • ewentualną obecność płynu,
  • czasem płuca (jeżeli nie są wypełnione powietrzem - co może się zdarzyć np. przy zaawansowanym zapaleniu czy obecności mian nowotworowych)

W pozostałych częściach ciała:

  • tarczycę,
  • węzły chłonne,
  • gałkę oczną,
  • deformacje w skórze i pod skórą,
  • ścięgna, mięśnie itp.

Możemy zatem ocenić narządy pod względem ich budowy: wielkości, kształtu, struktury miąższu, zawartości, a także obecności zmian chorobowych: deformacji, obecności płynu, stanu zapalnego itp. To wiedza nieoceniona i czasem bezwzględnie konieczna do postawienia trafnego rozpoznania...

Czego nie obejrzymy przy pomocy USG?

Nie jesteśmy w stanie zbadać jak dokładnie funkcjonuje dany narząd (jaka jest jego wydolność). Do tego służą inne badania dodatkowe, np. badanie laboratoryjne krwi.

Niestety są elementy, których w ogóle nie ocenimy przy użyciu USG... czyli kości i płuca. Problem często stwarza także ocena układu pokarmowego.

Dlaczego nie obejrzymy?

Otóż ultradźwięki, wytwarzane przez sondę, odbijają się zupełnie od kości, metalu, kamieni a także od gazu, którym wypełnione są płuca oraz często przewód pokarmowy (żołądek, jelita). Odbijają się czyli nie przechodzą głębiej, do położonych poniżej odbicia narządów czy struktur. Nie uzyskujemy zatem obrazu tych niższych partii.




Tekst: lek. wet. Agnieszka Wdowiarska
opracowanie: MW-G

Wróć